Your Scuba Cylinder Can Be A Hammer

by

Larry "Harris" Taylor, Ph.D.

This material is copyrighted and all rights retained by the author. This article is made available as a service to the diving community by the author. It may be distributed for any non-commercial or Not-For-Profit use.  

All rights reserved.

Go To:   Home     About "Harris"     Articles      Slides     War Stories     Editorials     Links    Fini

During my first scuba class, my instructor and his assistants were most adamant about never leaving a scuba cylinder standing alone and upright. As a scuba instructor, I tell my students that a scuba cylinder standing alone is a "foot-seeking-device" and will most likely fall on the foot of a litigation-seeking attorney. A single scuba cylinder typically, depending on the composition material and the volume of the cylinder,  weighs between 30 and 50 pounds (13 to 22 kg). This amount of mass can develop a significant impact force, even when falling only a short distance.

EXAMPLE:

The photographs below document an injury sustained by a diver when a single steel "72" cylinder standing next to a wall was accidentally knocked over and fell on his foot. The diver was wearing leather sneakers at the time. I suspect a bare-footed or wearing-only-dive-boots diver would have sustained greater damage. These photographs were taken approximately 24 hours after the incident.

 

Examination by emergency medical people at a local hospital revealed the diver has a broken toe (comminuted fracture of the left first digital phalange). Basically, the toe was crushed into multiple fragments. Fortunately, this transverse fracture required no pinning or surgery. This type of fracture tends to heal rather well, but this diver missed diving for eight weeks while his body repaired the damage.

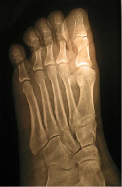
The X-rays below of the injury to the diver's left foot show multiple breaks (fine lines) at the in the first bone  (upper right of oblique view) of the big toe

X-Rays of Comminuted Fracture Caused By A Falling Scuba Cylinder

Oblique View

Enlarged Oblique View

Antero-Posterior View

 Enlarged Antero-Posterior View

Estimating the Force Involved

Precise estimations of impact force are not trivial. The method below is a simplification. It assumes there was no force knocking  over the tank.  But, it does give a crude "ball-park:" idea of the forces involved.

A simple way of estimating the force of a falling hollow cylinder is to assume the cylinder is a symmetrical, hinged rod than falls as if connected to a friction-less hinge at the bottom. This is shown in the figure below.

For a Steel "72" Cylinder:

AB = h = height (2.5 ft)

r = tank radius (0.29 ft)

G = Center of mass

g = the gravitational constant

(32 ft/sec )

w = weight (38.5 pounds)

m = mass (1.2 slugs)

where

m = w / g

 

In this scheme, a rod of height h (line AB)  falls from the vertical position (1) to the horizontal position (2) along the path described by the blue arc (as if hinged at point A.)  In this scheme, the center of mass for the cylinder (point G) falls a distance of  h/2. At this point G, the cylinder acts as a mass m, falling  with a force (represented as the red arrow, mg).

Classical physics tells us that 

The angular velocity (w) = (3g/h ) 1/2 

Substituting:   (w) = (3    x    32 ft/sec2   / 2.5 ft ) 1/2 

Solving:  (w = 6.19 ft /sec   

The circumference of this circle (which defines the radian) would be C= 2pr

Substituting: C= (2p x  2.5 ft)

Solving: C = 15.7 ft

So, in radians,  (w) = 6.19 ft/sec / 15.7 ft/radian  

(w) = 0.39 radian/sec

 

Since 90 degrees is 1/4 of a radian, the time to fall to the ground is approximately:

0.39 radian/ sec   / 0.25 radian = 1.6 seconds.

 

The moment of inertia (I)  for a rod or hollow cylinder is I =  mr2

Substituting  I = 1.2 slugs   x (0.29  ft)2

Solving:  I = 0.100 slug-ft2

 

The kinetic energy (KE)  = 1/2 I  (w)2

Substituting:   KE = 0.5 ( 0.100 slug-ft2 ) (0.39 radian/sec)2

Solving:  KE =  0.019  ft-lbs

There are certainly more complicated ways at looking at this, but I am a biochemist, not a physicist, so I will take the simplest way possible (KISS Principle (g))  to scientifically justify the observation that a cylinder falling on a foot is not an unnoticed event!

 

Conclusion:

The next time you see a single scuba cylinder standing alone on a pool deck or at a dive site, don't think of it as an unattended tank. Instead, consider it to be a hammer waiting to strike and either secure the tank with a line or chain or lay the cylinder down to prevent an injury to yourself or a fellow diver.

Top

Go To:   Home     About "Harris"     Articles      Slides     War Stories     Editorials     Links    Fini

Acknowledgements:

My thanks to the injured diver for permission to photograph the damaged foot 

and 

My thanks to the diver and the medical staff involved for allowing me a have a copy of the x-rays

 

Physics reference: Schaum, D. College Physics, McGraw Hill, NY, 1961,  p. 81.

 

Figure drawn in MS Power Point

 About The Author: 

Larry "Harris" Taylor, Ph.D. is a biochemist and Diving Safety Coordinator at the University of Michigan. He has authored more than 200 scuba related articles. His personal dive library (See Alert Diver, Mar/Apr, 1997, p. 54) is considered one of the best recreational sources of information In North America.

  Copyright 2001-2026 by Larry "Harris" Taylor

All rights reserved.

Use of these articles for personal or organizational profit is specifically denied.

These articles may be used for not-for-profit diving education