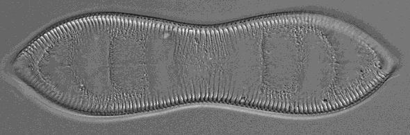
Cymatopleura soleaBrebisson

                                                                                                                    
Length:123

Width:34

Striae:































Collection 1158

Other images

More information




Return to Top Page Return to Genera List Return to Species List


Authority information


Cymatopleura solea (Brebisson) W. Smith 1851 (Fig. 116:1-4; 117: 1-5; 118: 1-8; 122:4)(Krammer and Lange-Bertalot 1988).



Other images



This image was taken utilizing DIC for the specimen above.



















More information



The valve is linear and can be broad to narrow. The ends are roundly wedged and peaked(Krammer and Lange-Bertalot 1988).






Size ranges and morphology


  • Length is 30 to 300 micrometers(Krammer and Lange-Bertalot 1988).
  • Width is 10 to 45 micrometers(Krammer and Lange-Bertalot 1988).
  • Striae are 25 to 32 in 10 micrometers(Krammer and Lange-Bertalot 1988).