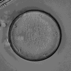
Actinocyclus normanii fo. subsalsa (Juhl.-Dannf.) Hust. 1957

                                                                                                                     
Diameter: 25


Areolae: 8-12





Collection 1141a


Other images


More information




































Return to Top Page Return to Genera List Return to Species List


Authority information


Hustedt, F. 1957. Die Diatomeenflora des Fluss-systems der Weser in Gebiet der Hansestadt Bremen. Abh. Naturw. Ver. Bremen 34(3): 181-440.

See also: Hasle, G. R. 1977. Morphology and taxonomy of Actinocyclus normanii fo. subsalsa (Bacillariophyceae). Phycologia 16(3): 321-328.



Other images



Valve view


Labiate processes


DIC, labiate processes




More information


This taxon is considered to be an invading species in the Laurentian Great Lakes (Hasle 1977, Mills et al. 1993). Stoermer et al. (1985) determined the first occurrence of A. normanii fo. subsalsa to be approximately 1938.
Hustedt (1957) erected two forms, Actinocyclus normanii fo. normanii and Actinocyclus normanii fo. subsalsa, based primarily on ecology and size. According to Hasle (1977) no substantial differences were observed between A. normanii fo. normanii and A. normanii fo. subsalsa aside from size and ecology so there appears to be no taxonomic reason to keep the forms separate; however she suggested for ecological perspectives the two forms may have some meaning and did not propose combining the taxa.

  • Ecology
    Stoermer et al. (1985) stated it is one of the few Great Lakes diatoms with its maximum abundance near 20 degrees C. Hohn (1969) identified this taxon as Coscinodiscus radiatus in Lake Erie and reported it was most abundant in August and September while it was absent in the colder months of the year. Its late summer pulse first appeared in 1964 in the western basin of Lake Erie. It appears to be common in eutrophic waters (Mills et al. 1993), Green Bay (Stoermer and Yang 1969), Saginaw Bay (Stoermer and Theriot 1983) but uncommon in the offshore waters of Lake Ontario (Stoermer et al. 1974).
    Actinocyclus normanii fo. normanii appears to be more common in strongly eutrophic marine to brackish waters while A. normanii fo. subsalsa appears to be more of a fresh water to brackish form with its greatest concentrations in low Chloride waters (Hustedt 1957).

  • Synonyms
    Basionym
    Coscinodiscus subsalsus Juhlin-Dannfelt 1882

    Coscinodiscus subtilis var. rothii (Grun.) V.H. Type No. 533, 1855
    Coscinodiscus subtilis var. fluviatilis Lemmermann 1898
    Coscinodiscus rothii var. subsalsa (Juhl.-Dannf.) Hust. 1928
    Coscinodiscus rothii fo. minor Grun. in Van Heurck 1885


    Size ranges and morphology


  • Other morphological features
    Actinocyclusis characterized by the presence of a pseudonodulus. Hustedt (1957) recognized the pseudonodulus (= ocellus in his terminology). He recognized the pseudonodulus (=ocellus) on the larger specimens stating it is difficult to see the pseudonodulus (=ocellus) on smaller specimens. The SEM's of Hasle (1977) show the pseudonodulus at the transition zone between the valve face and the mantle.
    Another characteristic is the prominent labiate processes (=rimoportulae) situated on the mantle. These structures can be seen in normal mounts.